Carebot představil nové AI asistenty

Úspěch českého AI startupu Carebot: certifikace rozšířené podpory čtení snímků, která umí pracovat nejen s rentgeny plic, ale i s rentgeny kostí, CT hlavy a plic nebo mamografickými snímky.
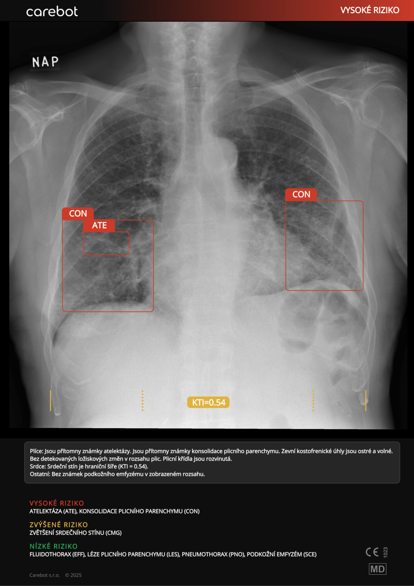
Startup Carebot získal evropskou certifikaci zdravotnického prostředku MDR pro rozšířeného asistenta pro čtení snímků obrazových vyšetření s využitím umělé inteligence. Po produktu s názvem Carebot AI CXR, který analyzuje rentgenové snímky hrudníku, vyvinul nový Horizon by Carebot. Ten v sobě kombinuje sedm nástrojů s umělou inteligencí: vedle analýzy rentgenových snímků hrudníku také detekci kostních fraktur, určení kostního věku a měření páteřních deformací, specializované aplikace pro CT hlavy a CT plic i podporu radiologů při hodnocení mamografických snímků.
Rozšířené portfolio představila společnost při příležitosti 46. českého radiologického kongresu a uvádí o něm, že v současnosti představuje jedno z nejkomplexnějších portfolií svého druhu na světě. Detekuje přes sto patologií hlavy, plic, prsou a kostí. To je praktické zejména z pohledu IT oddělení v nemocnici, když nemusí řešit implementaci několika různých nástrojů.
„Radiologie se v posledních letech nesmírně posunula a umělá inteligence je dnes už běžnou součástí naší každodenní práce. Díky jednotnému řešení pro různá vyšetření odpadne spousta technických bariér, které nemocnice při zavádění AI trápí nejvíce. Pro lékaře v klinické praxi znamená přístup k jednotnému řešení zejména stabilní chod, méně papírování, ale především víc času na pacienty,“ řekl pro Carebot vedoucí lékař Radiodiagnostického oddělení AGEL Radiologie Peter Bluska.
„Horizon by Carebot představuje, kam se radiodiagnostika posouvá. Od jedné smlouvy a implementace až po jednotnou podporu. Nemocnice nepotřebují desítky různých dodavatelů a další desítky integrací,” uvedl k rozšíření portfolia ředitel Carebotu Matěj Misař.
Ke každému snímku dostane lékař k dispozici strojové textové hodnocení, které lze použít jako základ lékařské zprávy.
Startup Carebot vznikl v roce 2021, v roce 2024 získal certifikaci MDR na úrovni IIa pro Carebot AI CXR. Tento nástroj využívají ve stovkách nemocnic v osmi evropských zemích a ve Spojených arabských emirátech. V Česku ji používá například FN Olomouc, FN Bulovka nebo FN u sv. Anny v Brně. Carebot také testuje ve spolupráci s Bristol Myers Squibb možnosti využití AI při časné detekci onkologických onemocnění.