První data screeningu výdutě břišní aorty: 100 odhalených případů
Více než 6 700 mužů se v Česku nechalo vyšetřit během prvního půl roku fungování časného záchytu výdutě břišní aorty. U stovky z nich lékaři zjistili…
Více než 6 700 mužů se v Česku nechalo vyšetřit během prvního půl roku fungování časného záchytu výdutě břišní aorty. U stovky z nich lékaři zjistili…
„Digitalizace přinese za stejné peníze úžasný stupeň bezpečnosti a kontinuity péče, to je její klíčový efekt z hlediska pacientů,“ říká doc. MUDr.…
Pokud se v roce 2026 nezvýší platby ze státního rozpočtu nad rámec pravidelné valorizace, systém veřejného zdravotního pojištění finančně zkolabuje a…
Letos bylo na základě vládního programu podpory studia na lékařských fakultách o 350 absolventů všeobecného lékařství více než v předchozích letech.…
Každý čtvrtý diabetik žije s diabetickou retinopatií, která může skončit ztrátou zraku. Oslepnutí aktuálně hrozí jednomu z deseti dospělých pacientů.…
Nejen oftalmologové, ale i diabetologové mohou provádět vyšetření na diabetickou retinopatii, a to použitím tzv. fundus kamery, která provede…
Cesta domů, která má za sebou téměř čtvrt století fungování, poskytuje v současné době komplexní spektrum hospicové péče. Dlouhodobě provozuje domácí…
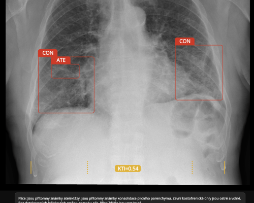
Český program časného záchytu karcinomu plic, spuštěný v roce 2022, uzavírá pilotní fázi a vstupuje do závěrečného hodnocení. Do konce roku 2024 bylo…
Projekt NUDZ zaměřený na časnou identifikaci a cílenou intervenci pro rodiny ohrožené stresem v perinatálním období byl ve své kategorii vyhlášen…
Společnost Amgen 2. října 2025 oznámila, že výsledky klinické studie fáze III VESALIUS-CV dosáhly obou primárních cílů. Studie prokázala, že přidání…
Odlepit se ze dna žebříčku a dostat se do roku 2035 mezi lídry digitalizace zdravotnictví v Evropě. To je ambice nové národní strategie schválené…
Vážené kolegyně, vážení kolegové, volby do Poslanecké sněmovny máme za sebou. Zdravotnictví sice nebylo hlavním tématem, ale na to už jsme poměrně…
Český program screeningu kolorektálního karcinomu, který od roku 2000 významně přispěl k poklesu mortality i incidence, se po pětadvaceti letech…
Fórum SCI Day, pořádané Centrem Paraple ve spolupráci s Českou společností pro míšní léze, přivedlo na Fakultu humanitních studií Univerzity Karlovy…
Festival o umělé inteligenci se zabývá i zdravotnictvím. Využití umělé inteligence roste a AI gramotnost se zlepšuje, uvádějí pořadatelé.
Spolu s tím, že paliativní péče prochází v České republice dynamickým rozvojem, roste její dostupnost i kvalita. Pro její udržení a zvyšování jsou…
Data zdravotních pojišťoven dnes umožňují detailně sledovat cestu pacienta se zhoubným nádorem – od prvního zakódování diagnózy přes…
„Tlačíme tu káru dál, možná teď trochu do kopce, ale jsem přesvědčen, že to zvládneme,“ říká prof. MUDr. Aleksi Šedo, Ph.D., ředitel NÚVR a přednosta…
Kvalita komplexních onkologických center (KOC) se posouvá. Nejmodernější cílená léčba, unikátní přístrojové vybavení, moderní onkologické stacionáře,…
Zesílení preventivních prohlídek u praktického lékaře je součást reformy primární péče. Jak se bude od ledna při preventivních prohlídkách postupovat…
Online psychoterapie se v ČR stala obecně přijatelnou a její využití rapidně vzrostlo během pandemie, částečně kvůli nutnosti, ale i díky tomu, že…
AČMN má k návrhu úhradové vyhlášky 90 námitek. Ministerstvo podle asociace zastupuje i při tvorbě úhradové vyhlášky jím zřizované fakultní a další…
Podle zprávy WHO z 29. srpna 2025 ČR využila v letech 2017–2022 strukturální a investiční fondy EU k vybudování, personálnímu obsazení a provozování…
Poznatky z medicíny rostou exponenciální řadou, délka studia medicíny je ale stále šest let. Každý z vyučujících přitom trvá na tom, že bez jeho…
Na 7. září každoročně připadá Světový den povědomí o Duchenneově muskulární dystrofii (DMD). Nejde o náhodné datum – gen pro dystrofin, jehož mutace…
V příštím volebním období je nutné pokročit v restrukturalizaci kapacit lůžkové péče. Očekává se také pokrok v elektronizaci českého zdravotnictví.…
Vážené kolegyně, vážení kolegové, v polovině září AIFP ve spolupráci s Hospodářskou komorou zorganizovala předvolební diskusi s politiky, kteří jsou…
Hořčík je významným faktorem v celé řadě metabolických reakcí, zejména při tvorbě energie, ve funkci mitochondrií, je součástí kofaktorů enzymů a…
Dospělí, kteří kouří cigarety a jsou závislí na alkoholu nebo jiných drogách, měli větší pravděpodobnost dosažení trvalé remise symptomů poruchy…
Nová antiobezitika z lékové skupiny inkretinových analog vykazují skutečně přesvědčivá data, pokud se jedná o redukci hmotnosti. Přibývají ale i…
„Data jsou silná a jasně ukazují, že acetylsalicylová kyselina dokáže snížit riziko vzniku kolorektálního karcinomu i úmrtnost na něj,“ říká v…
Rozhodnutí o nové síti komplexních onkologických center má padnout do konce září. Na 49. ročníku Brněnských onkologických dnů zdůraznil prof.…
Kontrolní body imunitní odpovědi jsou klíčovým regulačním nástrojem organismu pro prevenci autoimunitních reakcí a zachování tolerance vůči vlastním…
Na scéně se objevil nový nečekaný hráč, který by mohl obrátit situaci v boji proti Alzheimerově chorobě: lithium, minerál, který se nachází v přírodě…
Mezinárodní tým vědců vedený výzkumníky z Laboratoře integrativní biologie Ústavu molekulární genetiky (ÚMG) AV ČR, součásti Národního ústavu pro…
Nový webový portál Kardiomapa.cz nabízí pacientům po infarktu myokardu i lidem se srdečními obtížemi přehlednou interaktivní mapu více než pěti set…
Hořčík je významným faktorem v celé řadě metabolických reakcí, zejména při tvorbě energie, ve funkci mitochondrií, je součástí kofaktorů enzymů a…
Od 1. září vstoupila v platnost novela vyhlášky o školním stravování s ročním přechodným obdobím do září 2026. Reforma reaguje na alarmující nárůst…
Jak se Evropané drží nad vodou v přehlcené době? Zdravý životní styl a návyky podporují duševní zdraví i pohodu, ale platí to i naopak. Stres a…
Proč? Češi tvrdí, že kvůli chybějící motivaci, nedostatku času a financí. To jsou některé výsledky letošního průzkumu Stada Health Report 2025, které…
Ministerstvo zdravotnictví představilo srpnovou aktualizaci aplikace EZKarta, která občanům zpřístupnila novou sekci Moje zdraví. Ta umožňuje…
Letošní kongres Evropské kardiologické společnosti (ESC) se bude konat společně se Světovým kardiologickým kongresem v Madridu i online od 29. srpna…
Zdravotnický podcast Druhý názor přinesl již téměř dvě desítky rozhovorů a našel si svoje pravidelné posluchače. Během září začne redakce připravovat…
Česká společnost Stimvia úspěšně dokončila pilotní klinickou studii zaměřenou na použití peroneální elektrické transkutánní neuromodulace pomocí…
Britská Národní zdravotní služba (NHS) naléhavě žádá statisíce mladých lidí, kteří dosud nepodstoupili očkování proti lidskému papilomaviru (HPV),…
Ministerská koncepce rozvoje onkologie nově rámuje systém péče pomocí pěti klíčových principů, tzv. onkologického patera. Podle RNDr. Mariána Rybáře,…
Vlny veder se někdy označují za tiché zabijáky, odhadem každoročně zabijí až půl milionu lidí po celém světě. Podle evropského programu Copernicus…
Jistě mnoho čtenářů zaznamenalo protestní kampaň pořádanou zejména mladými lékaři s názvem „Nebuď Mýval“, která otřásla českým zdravotnictvím v druhé…